Diagnóstico dental personalizado en estética: la base de resultados naturales y predecibles
Un diagnóstico dental personalizado no es un paso opcional, es la base para lograr una sonrisa natural y un tratamiento predecible. En Orace Dental Studio, combinamos análisis detallados con tecnología avanzada para diseñar planes mínimamente invasivos que cuidan tu salud dental. Descubre cómo este enfoque preciso puede cambiar tu sonrisa sin sacrificar su apariencia auténtica. Ver más.
Importancia del Diagnóstico Dental Personalizado

Un diagnóstico dental detallado es clave para obtener resultados que se vean y se sientan naturales. Este proceso inicial define el camino hacia una sonrisa que refleje autenticidad y salud.
Fundamento de Resultados Naturales
Cuando te sometes a un diagnóstico dental personalizado, aseguras que cada tratamiento se adapte a tu estructura dental única. Esto significa que tus dientes nuevos no solo se verán bien, sino que también encajarán de manera natural en tu boca. Nuestra prioridad es que te sientas cómodo y seguro con tu nueva sonrisa.
Un ejemplo de esto es cuando seleccionamos el color de tus dientes. No es solo una cuestión de elegir el tono más blanco, sino el que armoniza con tu piel y encías. De esta forma, el resultado es un cambio positivo sin desentonar con tu apariencia natural.
Claves para un Tratamiento Predecible
Con un diagnóstico adecuado, cada paso del tratamiento dental se planifica con precisión. Esto significa menos sorpresas y más previsibilidad en el resultado final. Saber lo que puedes esperar reduce la ansiedad y aumenta tu confianza en el proceso.
Orace Dental Studio se distingue por su enfoque meticuloso en la planificación. Este nivel de detalle asegura que, una vez que comience el procedimiento, cada etapa suceda sin contratiempos. Así, puedes disfrutar de un tratamiento que no solo es eficiente, sino también tranquilizador.
Salud y Estética en Armonía
Equilibrar la estética con la salud dental es esencial. Un buen diagnóstico no solo se centra en la apariencia, sino también en mantener tus dientes sanos a lo largo del tiempo. Esta dualidad es vital para asegurar que tus dientes se vean bien hoy y sigan fuertes mañana.
En Orace Dental Studio, trabajamos para que cada tratamiento estético no comprometa la salud de tus dientes. Esto se logra mediante técnicas que cuidan la estructura natural de tu boca, asegurando que tu sonrisa sea tanto bonita como saludable.
Técnicas Avanzadas en Estética Dental

La tecnología juega un papel crucial en elevar la calidad y precisión de los tratamientos estéticos. En Orace Dental Studio, utilizamos herramientas avanzadas para ofrecerte resultados excepcionales.
Escaneo Intraoral y Fotografía Dental
El escaneo intraoral nos permite crear un mapa detallado de tu boca, capturando cada detalle con precisión. Esta tecnología es como tener un molde digital de tus dientes, lo que facilita el diseño de tratamientos a medida. Además, complementamos este proceso con fotografía dental para capturar imágenes de alta resolución que guían el diagnóstico.
Este enfoque dual no solo mejora la planificación, sino que también te permite visualizar el resultado final antes de comenzar el tratamiento. Ver cómo será tu sonrisa puede motivarte y darte la confianza que necesitas para dar el siguiente paso.
Encerado Diagnóstico y Prueba Estética en Boca
El encerado diagnóstico es un procedimiento donde se modela la forma de tus futuros dientes en cera. Este paso permite ajustes y mejoras antes de llegar a la fase final. Es como una prueba antes del estreno, asegurando que todo esté perfecto.
La prueba estética en boca te da la oportunidad de ver y sentir cómo quedará el tratamiento. No hay sorpresas, solo la certeza de que el resultado será exactamente lo que esperabas. Esta etapa es crucial para afinar detalles y garantizar tu satisfacción.
Diseño Digital de Sonrisa
El diseño digital de sonrisa es una herramienta poderosa que permite visualizar cada detalle del tratamiento antes de empezar. Esta técnica te ofrece una vista previa precisa y detallada de cómo será tu nueva sonrisa.
Con esta tecnología, puedes participar activamente en el diseño de tu sonrisa, dando tu opinión y ajustando lo que necesites. En Orace Dental Studio, creemos que tu sonrisa debe ser única y reflejar tu personalidad, y esta herramienta nos ayuda a lograrlo.
Beneficios de un Plan Conservador

Optar por un enfoque conservador en odontología significa respetar al máximo la estructura natural de tus dientes. Esto no solo preserva su salud, sino que también hace que los resultados se vean más naturales.
Tratamientos Mínimamente Invasivos
Los tratamientos mínimamente invasivos buscan mantener la mayor cantidad posible de tu diente original. Esto se traduce en menos dolor y un tiempo de recuperación más rápido. En Orace Dental Studio, nos enfocamos en técnicas que maximizan tus beneficios sin procedimientos agresivos.
Por ejemplo, al utilizar materiales que se ajustan a la forma de tus dientes, logramos resultados que se sienten como parte de ti. Esto es lo que hace que nuestro enfoque sea tan apreciado por nuestros pacientes.
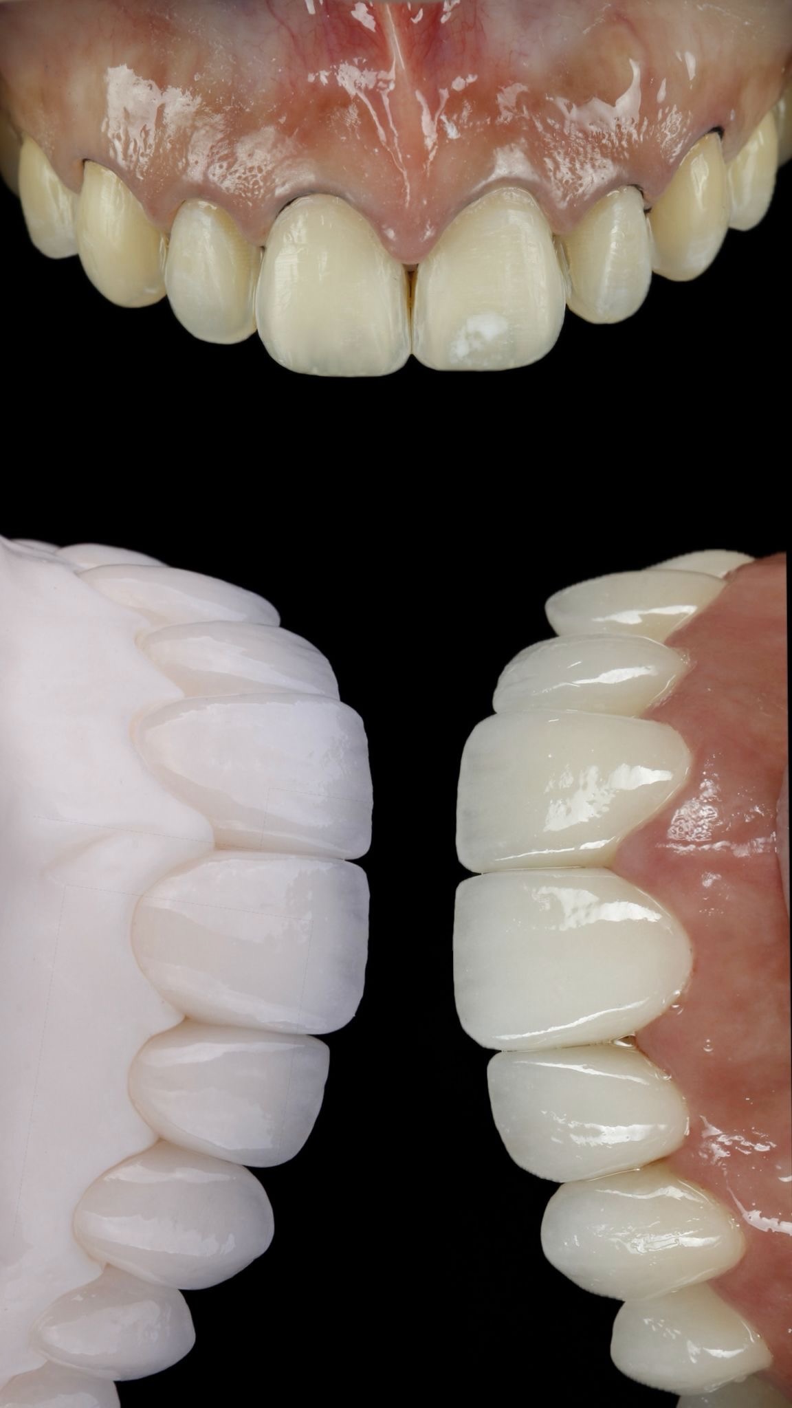
Carillas Dentales y Biomimética
Las carillas dentales son una opción popular para mejorar la apariencia de tus dientes. Gracias a la biomimética, podemos crear carillas que imitan la estética y función de los dientes naturales. Esto significa que no solo se ven bien, sino que también funcionan como tus dientes originales.
Este enfoque biomimético permite que las carillas se integren de manera armoniosa, evitando que se vean artificiales o fuera de lugar. Así, puedes sonreír con confianza sabiendo que tu tratamiento es tanto bello como funcional.
Consulta Estética en Orace Dental Studio
Una consulta estética en Orace Dental Studio es tu primer paso hacia una sonrisa transformadora. Nuestro equipo de expertos te guiará a través de cada opción, asegurando que entiendas el proceso y los beneficios.
Queremos que sientas que tienes el control sobre tu tratamiento. Al final de la consulta, tendrás una visión clara de cómo será el camino hacia la sonrisa que siempre has deseado. Visítanos en Villafranca del Castillo y descubre cómo podemos ayudarte a lograr una sonrisa que cambie tu vida.