Guía completa: cómo un diagnóstico personalizado eleva el éxito de tus carillas dentales
Olvidar un diagnóstico personalizado antes de colocar tus carillas dentales puede ser el error más costoso. Sin una evaluación minuciosa, el resultado puede alejarse de esa sonrisa natural, funcional y duradera que deseas. En Orace Dental Studio, combinamos tecnología avanzada y un análisis integral para diseñar tu sonrisa ideal desde el primer paso. Sigue leyendo y descubre cómo este proceso marca la diferencia en cada tratamiento con carillas cerámicas. Puedes obtener más información aquí.
Importancia del Diagnóstico Personalizado

Un diagnóstico personalizado es la clave para alcanzar resultados óptimos en tratamientos dentales. Pero, ¿qué hace que este proceso sea tan esencial?
Beneficios de un diagnóstico exhaustivo
Un diagnóstico exhaustivo te ofrece una visión clara de la salud de tus dientes. Con esta información, los dentistas pueden crear un plan hecho a medida para ti. Imagina entrar a un viaje sin un mapa. Es probable que te pierdas. Del mismo modo, sin un diagnóstico detallado, el camino hacia una sonrisa perfecta puede ser incierto.
Este proceso no solo identifica problemas actuales, sino que también prevé futuros. Al abordar las necesidades específicas de tu boca, puedes disfrutar de beneficios duraderos. Así, te aseguras de que cada paso en tu tratamiento esté bien fundamentado.
Elementos clave en el diagnóstico dental
El diagnóstico dental no es solo mirar los dientes. Involucra varios elementos esenciales. Primero, se realiza una revisión completa de tu historia dental. Esto ayuda a identificar patrones y problemas recurrentes. Luego, se emplean herramientas avanzadas, como el escáner intraoral. Este dispositivo crea imágenes detalladas de tu boca sin incomodidades.
Además, se considera el estado general de tu salud bucal. Factores como las encías, la mordida y la alineación dental son cruciales. Cada elemento juega un papel en cómo se desarrollará tu tratamiento con carillas dentales.
Cómo el diagnóstico impacta en el éxito de las carillas
Las carillas dentales dependen en gran medida de un diagnóstico preciso. ¿Por qué? Porque cada boca es única. Un análisis detallado permite adaptar el diseño de la carilla a tus necesidades específicas. Esto se traduce en carillas que no solo son estéticamente agradables, sino también funcionales y cómodas.
Sin un diagnóstico acertado, puedes enfrentar problemas como una mala adhesión o una apariencia artificial. Por eso, invertir tiempo en esta etapa inicial garantiza un resultado final que cumple tus expectativas. Recuerda, una sonrisa bien planeada es una sonrisa duradera.
Proceso de Diagnóstico en Orace Dental Studio
En Orace Dental Studio, llevamos el diagnóstico al siguiente nivel. Nuestro compromiso es brindarte el mejor cuidado posible desde el primer momento.
Técnicas y tecnología utilizadas
La tecnología de vanguardia es fundamental en nuestro proceso. Utilizamos escáneres intraorales para obtener imágenes precisas de tus dientes. Estas imágenes nos permiten planificar con exactitud cada etapa de tu tratamiento. Además, los rayos X digitales ofrecen una visión completa de tu estructura dental, minimizando el uso de radiación.
Estas herramientas no solo mejoran la precisión, sino que también reducen el tiempo de diagnóstico. En lugar de esperar, puedes obtener resultados en el acto y comenzar a planificar tu tratamiento de inmediato.
Simulación digital de sonrisa y mock-up dental
La simulación digital de sonrisa es uno de nuestros grandes aliados. Mediante esta técnica, puedes ver cómo quedará tu sonrisa antes de iniciar el tratamiento. Esto no solo te da tranquilidad, sino que también permite ajustes previos.
Además, el mock-up dental es una prueba en la que se colocan carillas temporales. Así, puedes «probar» tu nueva sonrisa y hacer cambios si es necesario. Este enfoque asegura que estés completamente satisfecho antes de dar el paso final.
Importancia del encerado diagnóstico
El encerado diagnóstico es un modelo de tus dientes hecho en cera. Este modelo te permite ver los cambios propuestos en un formato físico. Es como tener una vista previa de tu sonrisa.
Este paso es crucial para identificar posibles ajustes antes de colocar las carillas permanentes. También ayuda a evitar sorpresas y asegura que todo funcione a la perfección. En Orace Dental Studio, creemos que cada detalle cuenta para alcanzar resultados sobresalientes.
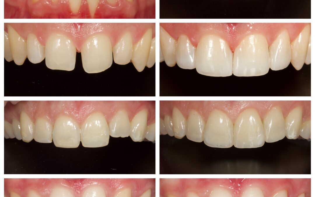
Ventajas de Carillas Mínimamente Invasivas

Las carillas mínimamente invasivas son una innovación en estética dental. Permiten transformaciones notables sin dañar los dientes existentes.
Materiales cerámicos de alta estética
Las carillas de porcelana son conocidas por su apariencia natural. Reflejan la luz de manera similar al esmalte dental, logrando un acabado impecable. Además, son resistentes a las manchas, lo que significa que tu sonrisa se mantendrá radiante por más tiempo.
Elegir materiales cerámicos asegura que tus carillas no solo sean bonitas, sino también duraderas. Esta elección es ideal para quienes buscan una mejora estética sin sacrificar la salud dental.
Adhesión dental y durabilidad de carillas
La adhesión dental correcta es esencial para el éxito de las carillas. Una buena adhesión garantiza que las carillas permanezcan en su lugar durante años. En Orace Dental Studio, utilizamos técnicas avanzadas para asegurar la mejor unión posible.
Esta atención al detalle se traduce en una durabilidad impresionante. Con el cuidado adecuado, puedes disfrutar de tus carillas durante más de una década. Así, puedes sonreír con confianza, sabiendo que tu inversión está bien protegida.
Plan de tratamiento dental personalizado
Cada persona es única, y su tratamiento dental debe serlo también. Un plan de tratamiento personalizado aborda tus necesidades y deseos específicos. Comienza con un diagnóstico detallado y se adapta a lo largo del proceso.
Este enfoque garantiza que cada paso esté alineado con tus expectativas. En Orace Dental Studio, nuestro objetivo es superar tus expectativas, brindándote una sonrisa que refleje lo mejor de ti. Al final, el beneficio es claro: un tratamiento diseñado para ti, por expertos que se preocupan por tu bienestar.