Más información: Envíanos un email a : orace@mac.com y nos pondremos en contacto contigo.
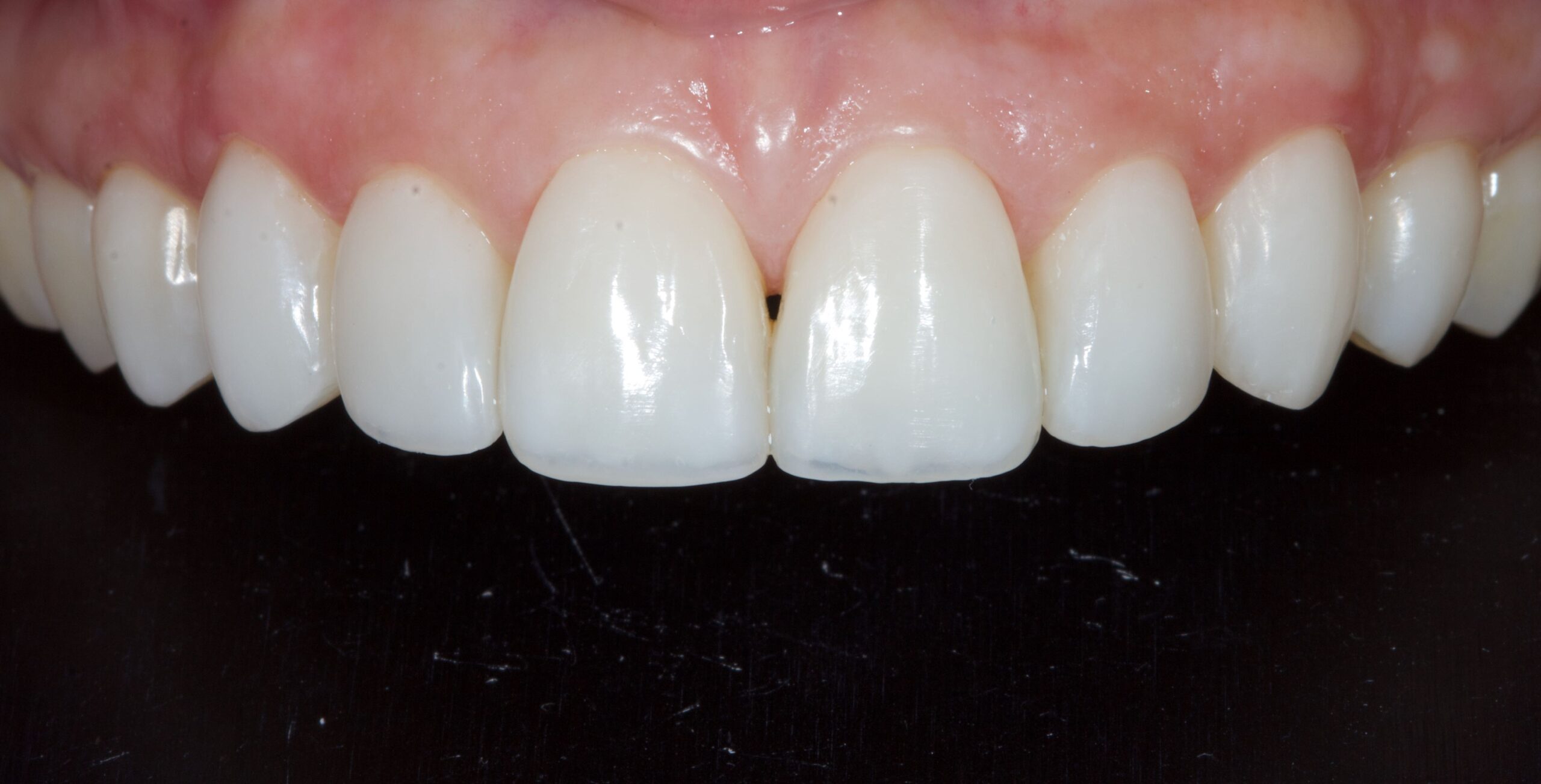
CARILLAS COMPO
En este curso presencial teórico-práctico, revisaremos la técnica directa para la elaboración de carillas en composite. Aprenderemos a incorporar todos los conceptos de análisis estético y diseño anterior de la sonrisa, revisados en el módulo de CARILLAS 1, para terminar de manera directa cuando como material restaurador de elección hemos escogido el COMPOSITE.
TEORÍA de 9-12 horas.
-ADHESIÓN
-DISEÑO ANTERIOR
-SELECCIÓN DEL MATERIAL
-ESTRATIFICACIÓN
-FINALIZACIÓN Y PULIDO
PRÁCTICA de 12 -14 y de 15- 17 horas.
-CASO DE CARILLAS DIRECTAS SOBRE MODELO
Nuestros Cursos
INTENSIVO DE COMPOSITE
En este curso presencial teórico-práctico, repasaremos la técnica de estratificación natural con composites; revisaremos las técnicas resturadoras adhesivas en dientes posteriores y revisaremos la técnica directa para la elaboración de carillas en composite.
Fechas: 6, 7 y 8 de junio de 2024
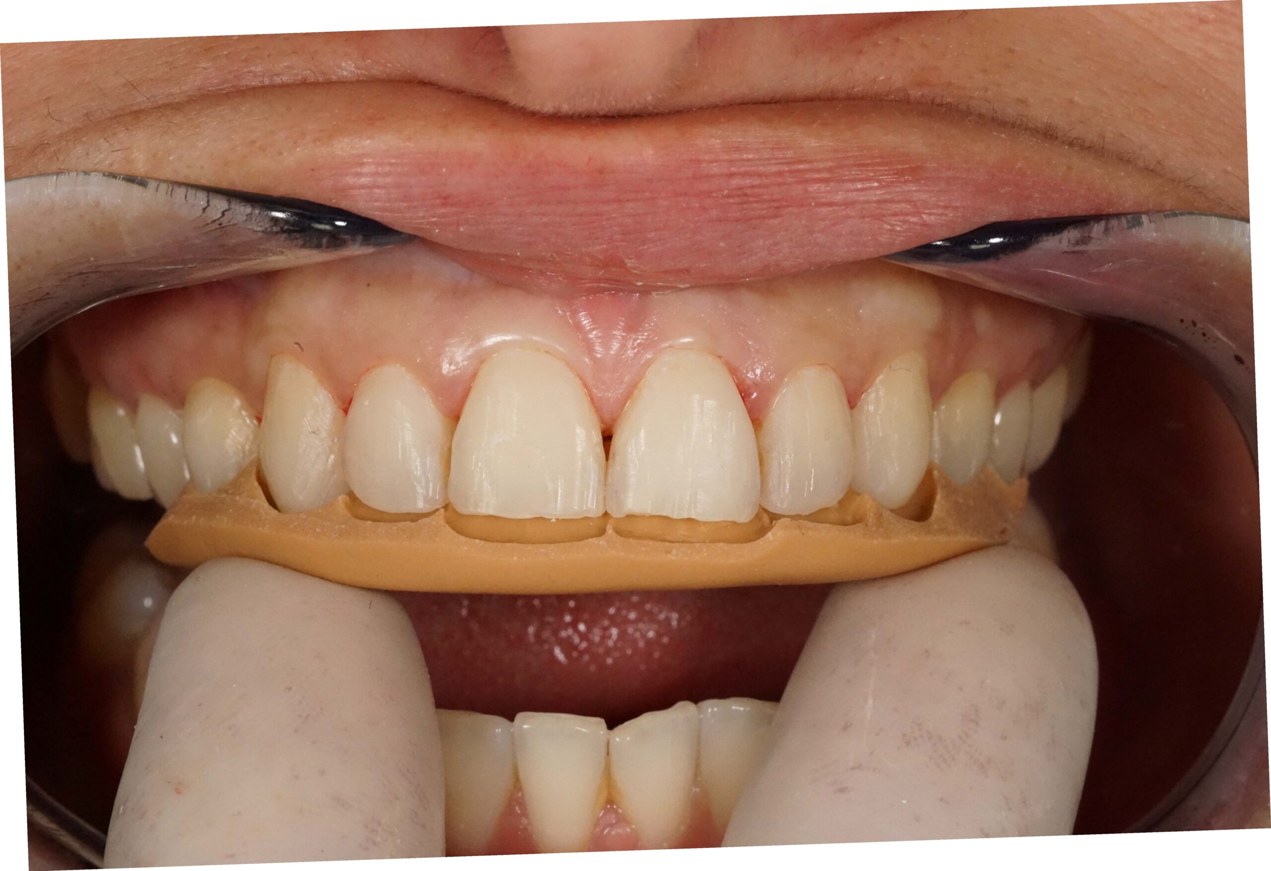
ESTRATIFICACION CON COMPOSITE EN DIENTES ANTERIORES-BASIC
En este curso presencial teorico-práctico de 5 horas, aprenderás a incorporar a tu práctica diaria un protocolo de estratificación con composites para dientes anteriores guiado por las características asociadas al color que encontramos en los dientes naturales. Será el primer paso para dar un salto de calidad en tus restauraciones directas en el sector anterior.
Más información: Envíanos un email a : orace@mac.com y nos pondremos en contacto contigo.
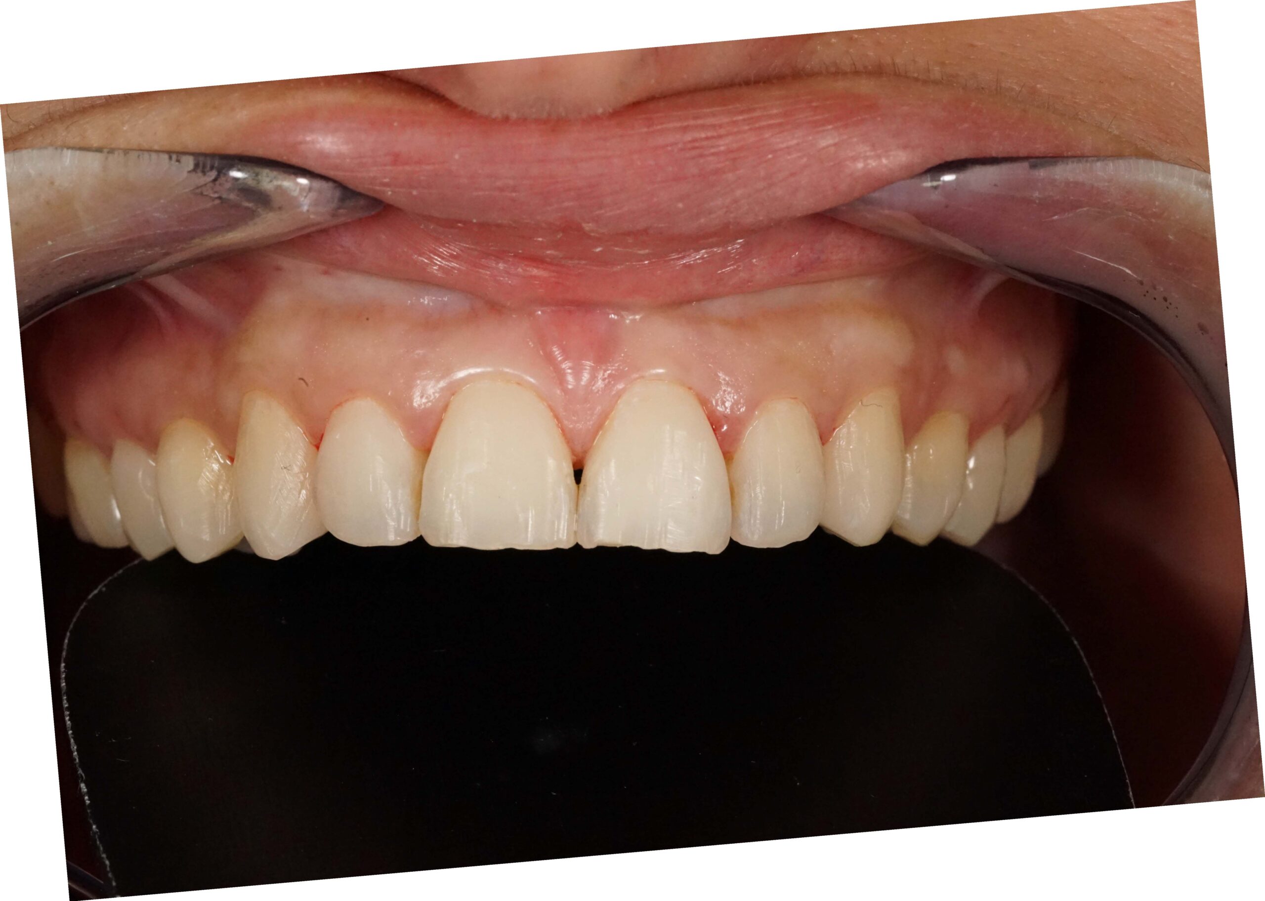
ESTRATIFICACION CON COMPOSITE EN DIENTES ANTERIORES
En este curso presencial teorico-práctico de 8 horas, repasaremos la técnica de estratificación natural con composites en dientes anteriores y su adaptación a diferentes situaciones clínicas (FRACTURAS, DIASTEMAS,
TRONERAS, CARILLAS, etc.)
Más información: Envíanos un email a : orace@mac.com y nos pondremos en contacto contigo.
RESTAURACIONES CON COMPOSITE EN DIENTES POSTERIORES
En este curso presencial teorico-práctico,revisaremos las técnicas resturadoras adhesivas en dientes posteriores, entenderemos los conceptos de adhesión, resistencia adhesiva de los materiales restauradores y los riesgos asociados a la contracción durante la polimerización de los materiales de composite y como minimizarlos en las técnicas directas y cuándo, por qué y cómo, realizar técnicas indirectas.
Más información: Envíanos un email a : orace@mac.com y nos pondremos en contacto contigo.
CARILLAS 1
En este curso presencial teorico-práctico, el primero de una serie enfocada en las carillas como tratamiento estético restaurador, aprenderás los conceptos básicos en el diseño estético y funcional del sector anterior, repasaremos los conceptos adhesivos, de vital importancia para asegurar la supervivencia de este tratamiento a largo plazo y revisaremos los diferentes materiales que tenemos a mano y los criterios de selección asociados.
Más información: Envíanos un email a : orace@mac.com y nos pondremos en contacto contigo.
CARILLAS 2
En este curso presencial teorico-práctico, el segundo de una serie enfocada en las carillas como tratamiento estético restaurador, aprenderás los conceptos básicos en la preparación prostéticamente guiada y basada en conceptos biomiméticos, repasaremos los conceptos adhesivos y la gran importancia que adquiere el sellado inmediato de la dentina para el éxito del tratamiento y veremos diferentes técnicas de provisionalización.
Más información: Envíanos un email a : orace@mac.com y nos pondremos en contacto contigo.
CARILLAS 3
En este curso presencial teorico-práctico, el tercero de una serie enfocada en las carillas como tratamiento estético restaurador, describiremos de forma detallada y precisa el protocolo de cementación adhesiva de carillas, detallando de forma simple y clara las diferencias para la cementación de diferentes materiales. Revisaremos la técnica de aislamiento para la cementación adhesiva.
Más información: Envíanos un email a : orace@mac.com y nos pondremos en contacto contigo.
CARILLAS COMPO
En este curso presencial teorico-práctico, revisaremos la técnica directa para la elaboración de carillas en composite. Aprenderemos a incorporar todos los conceptos de análisis estético y diseño anterior de la sonrisa, revisados en el módulo de CARILLAS 1, para terminar de manera directa cuando como material restaurador de elección hemos escogido el COMPOSITE.
Más información: Envíanos un email a : orace@mac.com y nos pondremos en contacto contigo.
ESTANCIAS EN CLÍNICA
Correo de información: cursos@oracedentalstudio.com




